Teeth Cleaning and Polishing

Dr. Ankit Gupta
Last updated: Aug 18, 2023

Teeth Cleaning: A Vital Component of Oral Hygiene
Teeth cleaning is a fundamental aspect of maintaining excellent oral hygiene. Its primary goal is to remove dental plaque in order to prevent cavities (dental caries), gingivitis, and periodontal disease. This practice involves routine tasks like brushing, interdental cleaning, and seeking professional dental care when necessary.
Brushing, Scrubbing, and Flossing
Brushing: Regular and thorough brushing with a toothbrush is a cornerstone of plaque prevention. While manual toothbrushes have been a traditional choice, electric toothbrushes are gaining popularity for their effectiveness in reducing plaque formation and gingivitis. At Centre, our dedicated team of dentists can provide guidance on proper tooth brushing techniques.
Flossing: Beyond brushing, effective cleaning between teeth is essential to prevent plaque buildup. Dental floss and interdental brushes are commonly used tools for this purpose.
Although approximately 80% of cavities develop in the grooves and fissures of chewing surfaces, current evidence doesn't unequivocally support the role of at-home flossing in reducing cavity risk in these specific areas. Apart from traditional methods, specialized tools like toothpicks and oral irrigators can complement oral hygiene routines.
Alternative Approaches
Certain cultures embrace distinctive teeth cleaning practices. For instance, using twigs with natural antiseptic properties is common. In the Muslim world, the 'miswak,' crafted from twigs or roots, is believed to provide an antiseptic effect while cleaning teeth.
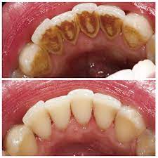
Professional Teeth Cleaning
Professional teeth cleaning, referred to as prophylaxis, plays a crucial role in removing tartar from challenging-to-reach areas that regular cleaning may miss. Dental professionals such as hygienists, specialists, and periodontists utilize techniques like tooth scaling, polishing, and debridement to ensure optimal oral health.
Most dentists in Noida recommend scheduling professional teeth cleaning every six months for optimal results. Additional cleanings and examinations might be necessary during the treatment of dental and oral disorders. Regular dental check-ups, including periodic dental X-rays, are recommended at least annually.
Prioritizing Oral Health
Emphasizing good oral hygiene is essential for cavity prevention, reducing tartar buildup, and minimizing the risk of gum disease.
Patient Information
Follow Us for Smiles!
Treatments
Patient Information
© 2025. All rights reserved.